Группа ученых разработала новый эффективный метод утилизации метилового спирта — опасного яда, который, тем не менее, все шире используется в промышленности. В России его производство ежегодно растет примерно на 10% и сейчас составляет около 4 млн т в год. Разработка ученых сулит революцию в области утилизации метанолсодержащих промышленных отходов.
Коллектив исследователей из НИТУ «МИСиС» при участии ученых из Технологического университета Квинсленда (Австралия) и Национального института материаловедения (Цукуба, Япония) создал инновационный катализатор из наночастиц нитрида бора и серебра, который позволяет разложить токсичный метиловый спирт на простые вещества — углекислоту и воду.
Метанол — самое ядовитое соединение из всех спиртов — представляет серьезную опасность для жизни человека как в чистом виде, так и в парообразном состоянии или в водном растворе. Попадание метанола в организм человека приводит к угнетению центральной нервной системы, развитию тяжелого метаболического ацидоза (изменения кислотно-щелочного баланса организма), поражению сетчатки глаза и дистрофии зрительного нерва. В результате отравления метиловым спиртом происходит так называемый летальный синтез.
Между тем это ядовитое вещество весьма широко используется в химической и газовой промышленности, применяется в качестве добавки к топливным элементам. Метиловый спирт используют как растворитель для приготовления лаков, красок, как составную часть антифризов, большое его количество идет на выпуск формальдегида, формалина, уксусной кислоты. И на каждом из подобных производств всегда есть риск утечки метанола в окружающую среду.
Научный коллектив лаборатории «Неорганические наноматериалы» НИТУ «МИСиС» в результате долгого целенаправленного поиска нашел способ эффективно обезвреживать метанол. Для этого предложено использовать синтезированный лабораторией катализатор реакции разложения метанола на простые безвредные вещества — углекислоту и воду.
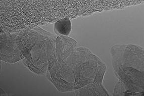
«Разложение метанола на безопасные компоненты возможно в ходе реакции его окисления. Но даже условия частичного протекания этой реакции требует весьма высоких температур,
400–500 градусов, что делает весь процесс довольно неэффективным и опасным, — рассказал соавтор исследования, научный сотрудник лаборатории „Неорганические наноматериалы“ НИТУ „МИСиС“ Антон Конопацкий. — Мы предложили катализатор для этой реакции — новый наногибридный материал, состоящий из нитрида бора и небольшого количества (менее одного атомного процента) наноразмерного серебра на его поверхности».
При использовании нового катализатора метанол полностью окисляется при температуре не более 200 градусов.
Инженер-химик Центра биоаналитических исследований и молекулярного дизайна (бывшая Центральная химико-токсикологическая лаборатория) Сеченовского университета Александр Еганов пояснил, что метанол в окружающей среде — например, в почве — деградирует в течение пяти дней: его перерабатывают бактерии, использующие это вещество в качестве субстрата для своей жизнедеятельности. В организме человека небольшие дозы метилового спирта тоже быстро разлагаются, то есть яд не накапливается. Поэтому метанол в России еще с
Однако с тех пор производство и потребление метанола и, соответственно, необходимость утилизации его отходов выросли во много раз. Производство метанола в России ежегодно растет примерно на 10% и сейчас составляет около 4 млн т в год.
«Это очень много, — рассказал Александр Кутепов, заместитель директора завода „Магнетон“, где метанол используется в технологическом цикле при измельчении металлических порошков. — Для того чтобы только промыть железнодорожные цистерны, перевозящие метанол, даже в соответствии с действующими по сей день нормами 1965 года, требуется не меньше 8 млн т воды, и вся эта вода, согласно тем же нормам, просто сливается в землю».
На водозаборных станциях защиты от метанола не предусмотрено, поэтому какая-то его часть неизбежно попадает из почвенных вод в ту воду, которую пьют жители окружающих регионов.
На заводе «Магнетон» используют специальную установку для сжигания метаноловых отходов. Но это весьма дорогой и опасный метод: смесь паров метанола с воздухом крайне взрывоопасна. Поэтому, по мнению Александра Кутепова, новый способ утилизации яда, предложенный учеными, остро необходим промышленности: он позволит уничтожать вредные вещества прямо на месте сброса или утечки.
Инновационный материал, созданный учеными, может стать основой для защитных промышленных фильтров и устройств для нейтрализации утечек метанола во многих отраслях. Сейчас коллектив лаборатории работает над оптимизацией разработки — в частности, над задачей снижения температуры реакции до 100 градусов.







